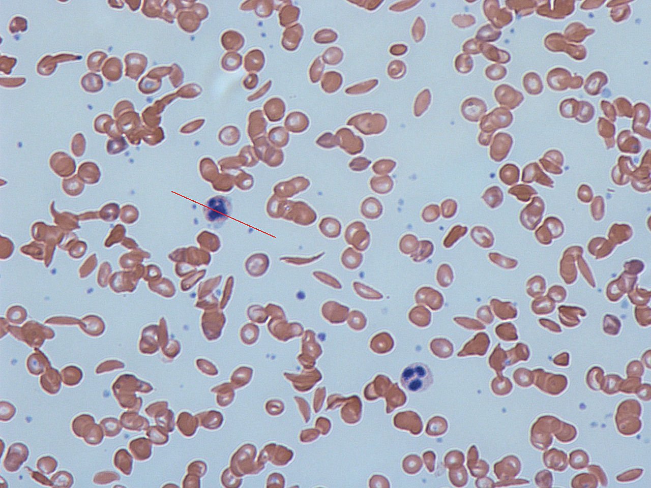
Sickle Cell Disease is a genetic blood disorder where red blood cells become rigid and shaped like crescents, blocking blood flow and causing pain, anemia, and organ damage.
It primarily affects people of African descent, with 1 in 13 Black Americans carrying the trait and about 1 in 365 being born with the disease.
You can help by learning the signs of pain crises, supporting routine medical care, and donating blood, which is often crucial for treatment.
Join US AND Our Partners At:
To Learn More About Sickle Cell Disease, Visit:

